您的当前位置:首页 > 新闻中心 > 新活动新活动
| 这个暑假,自信笑容 你***是‘C’位 |
|---|
| 信息来源:99shuma 发布时间:2019-07-11 点击: |
这个暑假,自信笑容你***是“C”位。

自信笑容 你***是"C"位
夏日矫正特惠季
隐形矫正******优惠8800
矫正即送正畸大礼包
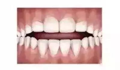
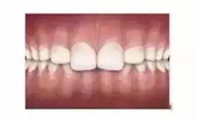
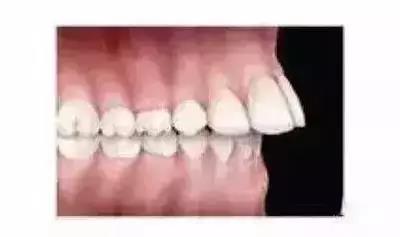
牙齿不齐又称错颌畸形,是指儿童在生长发育过程中,由先天的遗传因素或后天的环境因素,如疾病、口腔不良习惯、剔牙异常等导致的牙齿、颌骨、颅面的畸形,主要有:牙齿排列不齐、上下牙弓间的颌关系异常、颌骨大小形态位置异常等。

牙列拥挤








颌畸会给孩子带来的危害
影响口腔及颜面部发育
儿童生长发育期间的牙颌畸形如不能及时早期矫治,将会影响口腔及颜面部软硬组织的发育,引起面部的明显畸形。如地包天、开唇露齿等。牙颌畸形影响颜面美观是***直观的,如地包天、开唇露齿、下颌偏斜都会使人的整体形象大打折扣。有些少年儿童因为牙齿长得不好看,受到同学或小伙伴的的嘲笑,产生自卑感,严重的影响心理健康。
影响口腔卫生健康
牙齿排列不齐等牙颌畸形,牙齿自洁作用差,并且刷牙效果也不好,食物残渣和菌斑不容易去除,久之容易患龋齿、牙石、牙龈炎等口腔疾病,严重的可发展为牙周病,引起牙齿松动脱落。
影响口腔功能
有些牙颌畸形可能影响口腔功能。如前牙开牙合发音不清;反牙合、锁牙合病人对咬时接触面积比正常人小,咀嚼效率大大降低;深覆牙合会对下颌运动有影响,使下颌骨的运动关节-颞下颌关节运动异常,引起疼痛,并使面部肌肉容易疲劳。
影响全身健康
牙颌畸形引起的咀嚼功能的降低会加重胃肠的负担,时间长了会引起消化不良或胃肠疾病;牙颌畸形引起的龋坏、牙龈炎、牙周病等口腔疾患,在身体免疫力低下时会诱发心肌炎、肾炎等系统性疾病。


精致口腔,诚树口碑。
官方网站:www.cdzsyk.com
双城店
玉林店
新光店
梁家巷店


中山牙科 版权所有:成都市武侯区中山牙科诊所 蜀6102345678号
