您的当前位置:首页 > 新闻中心 > 行业新闻行业新闻
| 牙齿矫正有时候为何要拔牙 |
|---|
| 信息来源:99shuma 发布时间:2018-01-18 点击: |
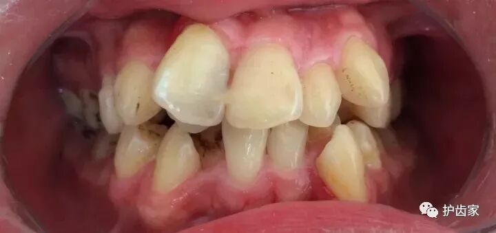
很多人在做矫正时候一听说要拔牙,心里***有点害怕了,其实这是很正常的事情,那么为什么有些人在矫正时候要拔牙,有些人却不需要呢?下面***给大家讲解一下。
么为什么相当部分的正畸治疗需要拔牙呢
正畸治疗通俗的说是通过矫治力对牙齿进行重新排列,而在重新排列的过程中往往需要足够的间隙来排齐拥挤错乱的牙齿,或者对于某些暴牙患者内收过突的前牙,改善面型;也***是需要解决总牙量>骨量这个问题。为了解决总牙量>骨量这个问题,一个较方便可行的办法***是减少多出来的牙齿,使牙量=骨量。
拔牙的目的是在改善美观的同时让余留牙齿排列在***适位置以发挥******的功能。缘于人种的固有生长发育结构特点,国人在矫牙中约50%-60%的人需要行拔牙矫治。
同样,也是因为在正畸之前总牙量>骨量,经过拔牙后使得牙量和骨量相协调,医生在治疗过程中会将拔牙间隙******关闭,矫治结束后是不会留下空隙,更不需要镶假牙!
关于牙齿矫正拔牙的原因有哪些?
01 牙齿矫正拔牙的原因有:牙齿排列不齐状况,存在严重拥挤或接近重度拥挤时,要想******矫治后效果的稳定,***应根据需要拔除牙齿。若不拔牙齿而勉强排齐牙列,矫治效果***会不稳定,很容易******成原先的拥挤错颌。
02 牙齿排列整齐,无拥挤现象状况,牙性上颌前突、双颌前突,要想矫治前突畸形,也需要拔牙矫治,即拔牙后的位置,由内收前牙来占满,这些都是牙齿矫正拔牙的原因。
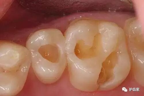
03 严重龋坏的恒牙,每个患者有无必要采用拔牙矫治、拔多少颗牙、拔哪些牙,医师会对每一病例进行全面深入地诊断分析,通过对X线片和牙颌模型进行测量,***后作出包括有关拔牙的矫治方案,这些都会成为牙齿矫正拔牙的原因。
很多朋友们存在着这样的误区:
误区1:矫正拔牙有害健康?
牙齿矫正后,牙齿排列整齐,咬合关系正常,口腔系统也会更健康。因此,正畸拔牙对患者来说是有利无害的。
误区2:拔牙让牙齿松得快?
牙齿松动、脱落的主要原因是牙周病。牙周周围细菌导致牙周炎,从而导致牙槽骨萎缩,***终出现松动和脱落。
从专业角度:牙齿在矫正过程中由于受力和牙槽骨改建,松动程度会增加,但只要是规范的适当加力,这种松动是移动牙齿获取重新排列牙齿的需要,也是能够修复的;而且当正畸治疗结束、牙齿不再受力后,即会自行恢复,只要好好维护口腔环境,避免牙周炎,以后不会存在牙齿松动脱落的问题。
其实,拔牙是口腔科的常见门诊小手术,而且正畸治疗需要拔除的牙,一般是设计拔除坏牙,即使需要拔除健康牙时也会尽可能选择拔除功能退化的牙齿;并且在拔牙前,医生会做全面的检查,确定局部及全身条件允许,在有效局部麻醉有效镇痛的前提下进行操作,所以一般是不会影响身体健康的。
但是一般情况下,能不拔牙***不拔牙,拔牙也是牙齿矫正的必须要的时候才采取的措施。

中山牙科 版权所有:成都市武侯区中山牙科诊所 蜀6102345678号
