您的当前位置:首页 > 新闻中心 > 行业新闻行业新闻
| 从浅龋到拔牙,看看你的牙齿是怎么下岗的! |
|---|
| 信息来源:99shuma 发布时间:2019-01-11 点击: |
从【浅龋】到【拔牙】,
看看牙齿是怎么下岗的!

发现以下这些症状
一定要及时去看牙科医生,
还能挽救你的牙齿,及早控制病情
来看看以下病情该如何处理
是否我们平时都这样做对待的?

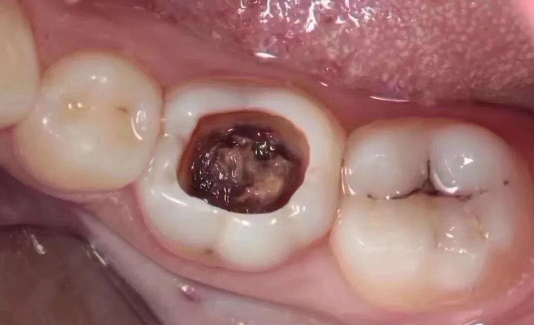
当我们牙上有小黑点时,您毫不在意地说:“没事的,没感觉。”
牙医说:“龋病是由以细菌为主的多因素导致的牙齿硬组织发生慢性进行性破坏的一种疾病。已经开始浅龋即牙釉质龋,需要做药物治疗或充填治疗。

当您吃糖时,感觉酸疼,您说:“没关系,不是很疼。”
牙医却说:“这时病变已经破坏到牙本质浅层了,牙齿已经有龋洞形成,对酸甜食物敏感,需要做充填治疗。”

当您进食时,没法咬食物,您说:“还好,可以用另外一边牙齿咬。”
牙医告诫说:“病变已经破坏到了牙本质深层,牙齿有较深的龋洞,温度刺激,化学刺激以及食物进入龋洞时均引起疼痛,此时,及时做充填治疗的话还来得及保住牙髓。”

当您昨晚一夜未眠,牙齿疼得撞墙时,您强忍着说:“吃一颗止痛药吧,再忍忍。”牙医劝您说:“当病变侵入牙髓组织,产生炎性渗出液,因而形成髓腔高压,引起剧烈疼痛。此时,开髓引流是缓解急性牙髓炎疼痛***有效的方法。”

当您脸肿得睁不开眼睛时,您撑着眼睛说:“没什么大不了的,吃吃消炎药***好了。”
牙医却着急地说:“牙齿急性根尖周炎感染可能引起间隙感染,严重的会危及生命。此时,需要到正规口腔医院治疗患牙,配合药物治疗,必要时做脓肿切开引流术。”

当您发现牙齿一块块脱落,只剩下少量牙冠时,您略感惋惜地说:“***这样吧!估计没办法救了。”
牙医却语重心长地说:“***目前医疗技术而言,做根管治疗后桩冠修复可以很好地保存残冠残根。”无痛根管治疗能达到******的效果。
当牙医告诉您牙齿必须拔除时,您嚎啕大哭,“牙没了,我可怎么办啊?”
这时,牙医安慰您说:“别怕! 三个月***可以镶牙了。目前三种镶牙方式:种植牙、活动义齿、烤瓷桥,******可以满足您的不同需求。
当然,预防胜过于治疗,避免小黑点的出现才是*********的治疗方式!
小孩喜甜食而且不能自主做好口腔清洁维护,而牙合面窝沟裂隙多,食物容易滞留,因此给小孩子的牙齿穿上一层漂亮的保护外衣非常有必要,能够有效防止蛀牙。

牙结石是引起蛀牙、牙龈炎、牙结石的元凶,因此成年人要养成定期洁牙的好习惯。保持每半年至一年之间洗一次牙,能够洗去牙结石并有效地防止各种口腔问题。

精致口腔,诚树口碑。
官方网站:www.cdzsyk.com
双城店
玉林店
新光店
梁家巷店


中山牙科 版权所有:成都市武侯区中山牙科诊所 蜀6102345678号
